
(Foto/Divulgação)
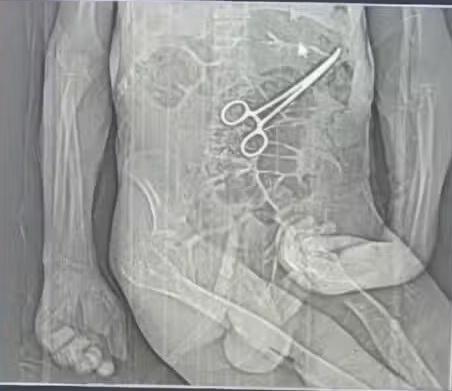
A Polícia Civil de Minas Gerais investiga as circunstâncias da morte de um homem de 68 anos, que faleceu na véspera do Natal no Hospital Municipal Antônio Carneiro Valadares, em João Pinheiro, na região Noroeste do Estado. A família levanta a suspeita de erro médico, após a possível permanência de uma pinça cirúrgica no corpo do idoso durante um procedimento.
Segundo o boletim de ocorrência, registrado no dia 30 de dezembro de 2025, o filho da vítima, de 31 anos, informou que só tomou conhecimento da existência do objeto cirúrgico após a divulgação de imagens de exames por veículos de comunicação da região.
Conforme relato da família à polícia, a vítima passou mal em casa no dia 4 de dezembro e foi socorrido, sendo submetido a uma cirurgia de emergência devido a uma úlcera gástrica. Ele permaneceu dois dias internado na Unidade de Terapia Intensiva (UTI) e, posteriormente, foi transferido para o quarto.
Ainda de acordo com o registro policial, nos dias seguintes o idoso passou a apresentar dores intensas, gemidos constantes e evolução para um quadro de sonolência contínua, chegando a permanecer cerca de dois dias sem despertar. No dia 11 de dezembro, ele foi levado para exames e, na sequência, submetido a uma nova cirurgia de emergência, sem que a família fosse informada previamente sobre o motivo.
Após o procedimento, a equipe médica teria informado aos familiares que a intervenção foi necessária para a retirada de um dreno e de pus que teriam permanecido na cavidade abdominal. Manoel retornou à UTI, onde permaneceu internado até falecer no dia 24 de dezembro de 2025.
A Polícia Civil confirmou que apura o caso. Em nota, informou que, “com o avançar dos procedimentos investigativos, outras informações poderão ser divulgadas”.
Família afirma que soube do objeto por meio da imprensa
De acordo com o advogado Iuri Evangelista Furtado, que representa a família, os parentes só tiveram conhecimento da possível permanência da pinça cirúrgica após o vazamento de uma imagem de exame para uma rádio local, mostrando o objeto no interior do corpo do paciente.
Ainda segundo o defensor, a Prefeitura de João Pinheiro chegou a emitir uma nota informando a identificação de um “corpo estranho”, sem especificar que se tratava de uma pinça cirúrgica. A confirmação, segundo ele, só ocorreu após a divulgação pela imprensa local.
“A partir disso, foi registrado o boletim de ocorrência para o início das investigações. Agora, vamos requerer documentos junto aos hospitais e acionar o Ministério Público”, afirmou o advogado.
Prefeitura alega quadro clínico grave
Em nota oficial, a Secretaria Municipal de Saúde de João Pinheiro afirmou que o paciente deu entrada no hospital em estado “extremamente debilitado”, apresentando quadro infeccioso grave, idade avançada e histórico de comorbidades, como cardiopatia, diabetes, arritmia cardíaca e sequelas graves de acidente vascular cerebral (AVC).
Segundo o município, a vítima foi encaminhada pela Unidade de Pronto Atendimento (UPA) no dia 5 de dezembro de 2025, com quadro de vômitos com sangramento e rebaixamento do nível de consciência. Diante do diagnóstico de infecção severa, teria sido submetido a uma gastrectomia de urgência para tratamento de úlcera perfurada.
A prefeitura informou ainda que o paciente permaneceu sob cuidados intensivos e acompanhamento multiprofissional durante toda a internação e que novos exames foram solicitados após a piora do quadro clínico. O caso segue sob apuração das autoridades competentes.
*Informações Jornal O Tempo